10 Bệnh Lý Răng Miệng Thường Gặp
Răng miệng khỏe mạnh là yếu tố quan trọng ảnh hưởng đến sức khỏe tổng thể và chất lượng cuộc sống. Tuy nhiên, nhiều người vẫn xem nhẹ việc chăm sóc răng miệng, dẫn đến các bệnh lý nghiêm trọng. Cùng nha khoa Ruby điểm qua 10 bệnh răng miệng phổ biến nhất hiện nay, nguyên nhân, dấu hiệu nhận biết và cách phòng ngừa, điều trị hiệu quả.
1. Sâu răng
Nguyên nhân:
- Mảng bám thức ăn chứa vi khuẩn sản sinh axit ăn mòn men răng
- Vệ sinh răng không đúng cách
- Ăn nhiều đồ ngọt, tinh bột
Dấu hiệu:
- Xuất hiện lỗ nhỏ màu đen trên bề mặt răng
- Đau khi nhai, ê buốt khi ăn đồ nóng/lạnh
- Hôi miệng

Điều trị:
- Trám răng nếu lỗ sâu nhỏ
- Điều trị tủy nếu sâu vào bên trong
- Bọc răng sứ nếu răng bị vỡ lớn
Lưu ý:
- Thay bàn chải định kỳ mỗi 2–3 tháng
- Hạn chế ăn vặt sau khi đánh răng ban đêm
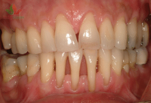
2. Viêm nướu (viêm lợi)
Nguyên nhân:
- Mảng bám tích tụ quanh chân răng
- Vệ sinh kém, không lấy cao răng định kỳ
Dấu hiệu:
- Nướu sưng đỏ, dễ chảy máu khi đánh răng
- Miệng có mùi hôi

Điều trị:
- Cạo vôi răng, làm sạch mảng bám
- Súc miệng kháng khuẩn, chăm sóc tại nhà
Lưu ý:
- Không nên dùng tăm xỉa răng thường xuyên, dễ làm tổn thương nướu
- Ưu tiên dùng chỉ nha khoa
3. Viêm nha chu
Nguyên nhân:
- Viêm nướu không được điều trị sớm
- Mảng bám kéo dài gây tiêu xương ổ răng
Dấu hiệu:
- Nướu tụt, răng dài ra
- Răng lung lay, đau nhức khi nhai

Điều trị:
- Cạo vôi dưới nướu, làm sạch sâu túi nha chu
- Phẫu thuật nha chu nếu nặng
Lưu ý:
- Đây là nguyên nhân hàng đầu gây mất răng ở người trưởng thành
- Điều trị càng sớm càng hiệu quả
4. Hôi miệng (chứng halitosis)
Nguyên nhân:
- Vệ sinh răng miệng kém
- Mắc bệnh về nướu, sâu răng, lưỡi bẩn
- Do bệnh lý tiêu hóa hoặc khô miệng
Dấu hiệu:
- Miệng có mùi khó chịu kéo dài
- Người xung quanh nhận ra mùi trước khi bản thân biết

Điều trị:
- Làm sạch răng, lưỡi, dùng chỉ nha khoa
- Điều trị bệnh lý nền nếu có
Lưu ý:
- Nên uống đủ nước mỗi ngày để tránh khô miệng
- Tránh ăn thực phẩm nặng mùi như tỏi, hành nếu không đánh răng ngay sau đó
5. Tình trạng ê buốt răng (răng nhạy cảm)
Nguyên nhân:
- Mòn men răng do đánh răng sai cách
- Răng bị nứt, mẻ
- Lộ ngà răng do tụt nướu
Dấu hiệu:
- Đau buốt khi ăn đồ nóng/lạnh/chua/ngọt
Điều trị:
- Dùng kem đánh răng chuyên dụng cho răng nhạy cảm
- Trám bảo vệ vùng ngà răng bị hở
- Chăm sóc răng đúng cách
Lưu ý:
- Không dùng bàn chải quá cứng
- Không chải răng theo chiều ngang, dễ làm mòn men
6. Nhiệt miệng (loét miệng)
Nguyên nhân:
- Thiếu vitamin B, C
- Stress, thay đổi nội tiết tố
- Tổn thương cơ học do cắn phải
Dấu hiệu:
- Vết loét nhỏ trong má, môi, lưỡi hoặc nướu
- Đau rát, khó chịu khi ăn uống

Điều trị:
- Dùng thuốc bôi sát khuẩn, giảm đau
- Bổ sung vitamin, nghỉ ngơi hợp lý
Lưu ý:
- Tránh ăn đồ cay nóng, chua khi bị nhiệt miệng
- Uống nước ép rau má, trà xanh giúp làm mát cơ thể
7. Viêm tủy răng
Nguyên nhân:
- Sâu răng không điều trị kịp thời
- Răng bị nứt, chấn thương
Dấu hiệu:
- Đau nhức dữ dội, nhất là ban đêm
- Răng đau khi nhai hoặc bị kích thích nhiệt độ
Điều trị:
- Điều trị tủy (lấy sạch phần tủy viêm)
- Trám hoặc bọc răng sau khi điều trị
Lưu ý:
- Điều trị càng sớm càng tránh mất răng thật
- Không tự uống thuốc giảm đau kéo dài mà không điều trị nguyên nhân
8. Răng mọc lệch, chen chúc
Nguyên nhân:
- Do di truyền, mất răng sữa sớm
- Hàm không đủ chỗ cho răng mọc
Dấu hiệu:
- Răng mọc chồng chéo, sai khớp cắn
- Gây khó khăn trong việc vệ sinh
Điều trị:
- Niềng răng chỉnh nha
- Nhổ răng tạo khoảng nếu cần
Lưu ý:
- Can thiệp chỉnh nha sớm giúp giảm chi phí và thời gian
- Nên thăm khám khi trẻ từ 6–8 tuổi để phát hiện sớm bất thường
9. Răng khôn mọc lệch
Nguyên nhân:
- Thiếu chỗ mọc hoặc mọc sai hướng
Dấu hiệu:
- Đau nhức vùng trong cùng hàm
- Sưng nướu, hôi miệng, sốt nhẹ

Điều trị:
- Nhổ răng khôn mọc lệch
- Sử dụng thuốc giảm viêm, kháng sinh nếu có nhiễm trùng
Lưu ý:
- Không nên trì hoãn việc nhổ răng khôn gây đau kéo dài
- Khám X-quang định kỳ để theo dõi răng khôn ngầm
10. Ung thư khoang miệng
Nguyên nhân:
- Hút thuốc lá, uống rượu nhiều
- Vệ sinh kém, nhiễm virus HPV
Dấu hiệu:
- Vết loét miệng không lành
- Sưng đau kéo dài, khó nuốt
- Xuất hiện khối u, hạch
Điều trị:
- Phẫu thuật loại bỏ khối u
- Xạ trị, hóa trị theo chỉ định bác sĩ chuyên khoa
Lưu ý:
- Tầm soát định kỳ nếu có yếu tố nguy cơ
- Không chủ quan với các vết loét kéo dài >2 tuần
Phòng ngừa bệnh lý răng miệng như thế nào?
- Đánh răng 2 lần/ngày đúng cách, dùng kem chứa fluor
- Dùng chỉ nha khoa, súc miệng sát khuẩn hằng ngày
- Hạn chế đồ ngọt, thuốc lá, cà phê, bia rượu
- Khám răng định kỳ 6 tháng/lần tại nha khoa Ruby
- Tẩy cao răng 1–2 lần/năm để loại bỏ mảng bám tích tụ
Nha khoa Ruby – Địa chỉ chăm sóc răng miệng uy tín
- Đội ngũ bác sĩ giàu kinh nghiệm, chuyên sâu nhiều lĩnh vực
- Trang thiết bị hiện đại, chuẩn quốc tế
- Tư vấn tận tâm, hỗ trợ điều trị tối ưu từng trường hợp
- Không gian sạch sẽ, vô trùng, thân thiện với khách hàng
- Gói khám tổng quát và chăm sóc định kỳ cho mọi độ tuổi
Kết luận
Các bệnh lý răng miệng tuy phổ biến nhưng hoàn toàn có thể phòng ngừa và điều trị hiệu quả nếu được phát hiện sớm. Đừng chờ đến khi đau mới đi khám. Hãy chủ động chăm sóc sức khỏe răng miệng ngay từ hôm nay cùng nha khoa Ruby.
Liên hệ với nha khoa Ruby để được tư vấn và kiểm tra răng miệng miễn phí ngay hôm nay!